ПОИСК ПО САЙТУ:
ДРУГОЕ
Категории новостей |
|
»» Стоматология | ||
|
»» Фармакология | ||
|
»» Бесплодие |
»» Хирургия | |
|
»» Педиатрия | ||
|
»» Кардиология |
»» Проктология | |
|
»» Косметология |
»» Ортопедия | |
|
»» Маммология | ||
|
»» Онкология |
»» Другое | |
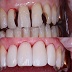
![]() Имплантация зубов — стоматологическая операция, предполагающая вживление титанового штифта на место потерянного зуба. Он выполняет функции зубного корня, выступающего основанием для фиксации импланта или коронки. Материал отличается гипоаллергентностью и не приводит к осложнениям. Коронки заменяются, в среднем, 1 раз в 10 лет, при этом качественный штифт остается на месте. |
![]() Центр современной стоматологии — многопрофильный центр, оказывающий современную стоматологическую помощь жителям столицы. |
![]() База домов престарелых в Москве и Подмосковье — специальный сервис, предоставляющий пользователям подробный каталог домов для престарелых и реабилитационных центров. Имеет самую большую базу учреждений в регионе, что позволяет сделать оптимальный выбор с точки зрения соотношения цены и качества обслуживания. Работает в статусе независимой компании, предлагая действительно лучшие социальные учреждения. |
![]() Медицинские сети «Династия» — сеть лицензированных многопрофильных клиник, оказывающая высококвалифицированную медицинскую помощь жителям Санкт-Петербурга и некоторых городов Ленобласти. В штате трудятся ведущие специалисты в различных областях медицины, имеющие звания профессоров, докторов и кандидатов медицинских наук. |
![]() С возрастом кожа и мышцы утрачивают упругость и эластичность. Изменения проявляются буквально везде, даже на коже вокруг глаз. «Мешки», морщины — далеко не полный список возрастных изменений в области нижних век. Кроме того, в некоторых случаях эти проблемы могут проявиться существенно раньше — например, из-за анатомических особенностей или из-за генетики. |
![]() Лечение за рубежом с каждым годом становится востребованнее. Медицинский туризм (МТ, medical tourism) нацелен на поддержание, восстановление здоровья или лечение человека. |
![]() Сколько бы серьезно женщина ни осуществляла регулярный и тщательный уход за собой в домашних условиях, все равно время неумолимо. Наш организм несовершенен и рано или поздно возрастные изменения начнут выдавать, что нам уже не 20 |
![]() Сфера спортивного беттинга стремительно развивается. Одновременно растет количество желающих заработать на ставках, что делает востребованными услуги людей, способных предоставлять часто сбывающиеся прогнозы на события. |
![]() Древнегреческий ученый Солон говорил много веков назад, что во всем нужна мера. С ним трудно спорить, особенно когда дело касается игр. Немало людей попадают в зависимость, откровенно перебарщивая с азартными развлечениями и тратя на них большую часть своей жизни. |
![]() Современное общество ценит комфорт. Любая отрасль, будь то медицина, промышленность или развлечения «заточены» под удовлетворение потребностей своих клиентов. Это является основным двигателем прогресса в наше время. |
![]() Длительное, неконтролируемое употребление спиртных напитков, сопровождающееся острой интоксикацией, в наркологии определяется, как запой. Состояние становится прямым симптомом стремительного прогресса алкогольной зависимости, требует срочного медицинского вмешательства. |
НОВОЕ БЛЮДО В ВАШЕМ БЬЮТИ-МЕНЮ: ШАМПУНИ И БАЛЬЗАМЫ SUPREME HEAD & SHOULDERS С ФОРМУЛОЙ ДВОЙНЫХ МАСЕЛ
![]() «Нет» сухости и перхоти — «да» глубокому питанию с обновленной коллекцией Suprême Head & Shoulders с маслом арганы, кокоса, миндаля и авокадо. |
![]() Пицца, паста, сыр, томаты — первое, что приходит на ум, когда мы говорим про итальянскую кухню. И действительно, пицца и паста — одни из популярных итальянских блюд, а сыр и томаты — часто используемые ингредиенты. |
![]() Алкоголизм – распространенное наркологическое заболевание, выраженное в физической и психологической зависимости от компонента алкоголя – этанола. Неограниченное потребление спиртного разрушает личность и организм больного, что в случае игнорирования проблемы может привести к летальному исходу. |
![]() Статья носит ознакомительный характер и не является медицинским пособием. Получить актуальную информацию о симптомах заболеваний, их лечении и диагностике вы можете у ЛОР-врача. |
![]() Покер появился в Америке около 200 лет назад, а с развитием интернета быстро полюбился игрокам по всему миру. Главная причина популярности – сочетание простых правил с многообразием стратегий. Сегодня в онлайне в любое время можно поиграть с реальными людьми на деньги. Для этого необязательно иметь персональный компьютер – достаточно современного смартфона. |
![]() Катаракта — одна из болезней глаз, при которой происходит помутнение хрусталика. Такое нарушение приводит к резкому ухудшению зрения, когда окружающие предметы приобретают расплывчатые и неразборчивые очертания. Одновременно становится хуже цветопередача, блики и яркий свет засвечивают картинку, приводя к болевым ощущениям. |
![]() Воспаление мочевого пузыря, или цистит, связано с поражением слизистых оболочек патогенными микроорганизмами. Несмотря на то, что чаще всего цистит вызывает кишечная палочка и другие бактерии, грибы и даже простейшие тоже могут быть причиной развития воспаления в слизистой мочевого пузыря. Женщины страдают циститом чаще мужчин из-за особенностей анатомии - по широкой и короткой уретре инфекция легко попадает в мочевой пузырь. |
![]() Для жителей столицы предусмотрена социальная мера поддержки, выражаемая в денежном пособии на оказание похоронных услуг для умершего, который являлся гражданином Российской Федерации, а также проживал на территории города не меньше десяти лет. Стандартный размер суммы является фиксированным, он равен 6124 рублям и 86 копейкам, но его размер может изменять в большую сторону в зависимости от нюансов. |
![]() Остеохондроз грудного отдела позвоночника — это заболевание костно-хрящевой ткани, которое вызвано дегенеративными процессами в межпозвоночных дисках, суставном и связочном аппаратах. Патология встречается примерно в 5 раз реже, чем аналогичные деструкции таза или шейного отдела. Однако грудной остеохондроз диагностируют намного сложнее, поскольку часто принимают за проблемы с сердцем или легкими. |

















